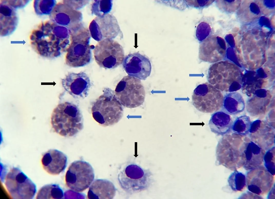
Can we find any evidence for transmissible disseminated neoplasia (DN) cancer in freshwater mussels.

In marine bivalves, there are many reports of disseminated neoplasia (DN), a cancer that can be transmissible in mussels. Just to be clear, the cancer itself is transmissible! The cells jump from one mussel to another- crazy right! I am searching for similar DN in freshwater mussels.